by Lil Caperila, RDH, M.Ed.
Do you polish every tooth as a part of every prophylaxis procedure? Has polishing become an expected part of a patient’s hygiene visit?

Figure 1: Enamel Pro® Prophy Paste (Premier® Dental Products Company)
The term ‘prophylaxis’ according to the American Dental Association is defined as, “Removal of plaque, calculus and stains from the tooth structures. It is intended to control local irritational factors.”1 The American Academy of Periodontology goes farther and defines how a prophylaxis can be achieved with their definition, “The removal of plaque, calculus, and stains from the exposed and unexposed surfaces of the teeth by scaling and polishing as a preventive measure for the control of local irritational factors.”2

Figure 2: 2pro® Disposable Prophy Angle and Enamel Pro® Prophy Paste, mint flavor, fine grit used to perform coronal polishing
The current position paper from the American Dental Hygienists’ Association on oral prophylaxis states that it should consist of, “supragingival and subgingival (below the gumline) removal of plaque, calculus, and stain.” The paper goes onto to say that “the components of the routine prophylaxis should include but not limited to, patient education, supra- and subgingival scaling, and polishing as appropriate.”3
Coronal or cosmetic polishing – is defined as “a procedure designed to make the tooth free of plaque and extrinsic stains. The process of achieving a smooth, mirror-like enamel or material surface that reflects light and is characterized as having a high luster.”4
Since the late 1970’s, the notion that every tooth during every routine prophylaxis should be polished has been replaced by the selective polishing theory that asserts that it should only be performed on teeth with extrinsic stain.4–6 It has been proven that coronal polishing, when done incorrectly or with an unnecessarily coarse grit paste can damage enamel, dentin, and restorations.7–8 Explanations of why coronal polishing is a seemingly routine of the patient’s “cleaning” appointment may range from patient expectations to oral healthcare provider’s desires to satisfy patients and provide the best care possible.
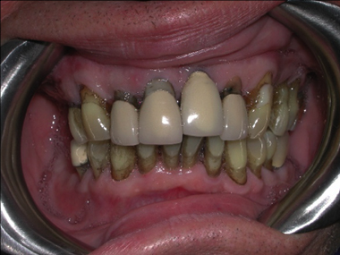
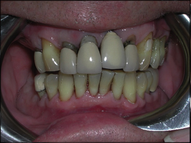
Figures 3 & 4: Note the heavy stain before coronal polishing. Coarse grit Enamel Pro® Prophy Paste was used initially followed by fine grit.
So, if it is recommended to only polish the teeth with extrinsic stain, and you know that there is a potential for damage to the teeth (e.g., abrasion, loss of enamel, sensitivity), but patients expect it and like the clean smooth feeling it provides, what should a hygienist do?
Below are some recommendations to make coronal polishing more effective and safer:4–6
To meet the needs of oral healthcare providers and patients, Premier Dental® offers Enamel Pro® Prophy Paste in 10 different flavors with grit sizes ranging from fine to extra coarse. Enamel Pro® paste also features a special formulation to deliver ACP (amorphous calcium phosphate) and is available with and without fluoride.
For questions about Enamel Pro® Prophy Paste and our other hygiene products, please go to www.premierdentalco.com or call 888-773-6872 to speak to a customer service representative.
Acknowledgement: Clinical images and case examples courtesy of Dr. Shalom Mehler.

























